domingo, 8 de enero de 2012

Tema 9. La membrana plasmática. Orgánulos membranosos

1. Membrana plasmática 

Video sobre la membrana plasmática

Actividad sobre los componentes de la membrana plasmática



2. Transporte a través de la membrana




3. La endocitosis y la exocitosis


4. Las uniones intercelulares




5. El retículo endoplasmático




Video sobre el retículo endoplasmatico 



Actividad sobre las distintas partes del retículo endoplasmatico
http://recursostic.educacion.es/ciencias/biosfera/web/alumno/2bachillerato/La_celula/activ10.htm



6. El aparato de Golgi 



7. Las vacuolas


8.Los lisosomas





Actividad sobre el aparato de Golgi y los lisosomas



9. Los peroxisomas y glioxisomas


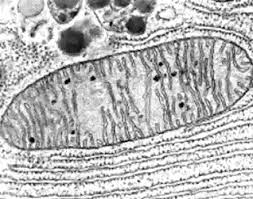
10. Las mitocondrias






Video sobre las mitocondrias y la síntesis de ATP en ellas (**En inglés)





Actividad sobre las partes de las mitocondrias



11. Los cloroplastos






Actividad sobre las partes de los cloroplastos



Video sobre el interior de las células, membrana plasmática, intercambio de sustancias, movimiento interno y algunos orgánulos


No hay comentarios:

Publicar un comentario